Medically Reviewed by Esteem Dental And Orthodontic Team on January 20, 2025

Early removal is key to preventing long-term oral health problems. Studies show that each year in the United States, more than 10 million wisdom teeth are extracted. Wisdom teeth frequently cause oral health complications and jaw pain if left untreated. For many teens, removing wisdom teeth is essential to maintaining long-term dental health and preventing more serious issues.

At Esteem Dental in Winter Garden, FL, we’re committed to helping families prioritize their teens’ dental health through early intervention and wisdom teeth removal. These third molars often don’t have enough space to grow properly, and by addressing potential concerns promptly, we can help prevent serious oral health issues and ensure your teen’s smile remains healthy and confident.

When Is the Right Time for Teens to Have Their Wisdom Teeth Removed?

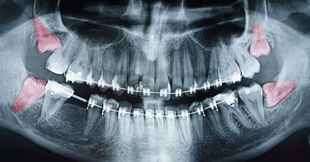
Wisdom teeth, or third molars, usually surface between ages 17 and 25. Often, there’s not enough space for these teeth, leading to pain, overcrowding, or misalignment.

Removing them during the teenage years is advisable, as their roots are less developed, making extraction simpler and recovery quicker. Scheduling a consultation promptly can help avoid more invasive procedures and complications in the future, ensuring your teen’s dental health remains optimal.

What Happens If My Teen’s Wisdom Teeth Are Left Untreated?

Ignoring wisdom teeth can result in long-term oral health problems, many of which can escalate quickly. Addressing wisdom teeth early reduces your teen’s discomfort and protects their dental health.

Here are common complications of untreated wisdom teeth:

  • Impaction: Wisdom teeth may be trapped beneath the gums, causing swelling, pain, and jaw stiffness.
  • Infections: Partially erupted teeth can create areas for bacteria to thrive, leading to infections and gum disease.
  • Damage to adjacent teeth: Overcrowded wisdom teeth may push against neighboring teeth, causing alignment issues or damage to enamel.

Addressing these potential issues sooner rather than later minimizes risks and helps maintain your teen’s oral health over time.

What to Expect During Your Teen’s Wisdom Teeth Removal

At Esteem Dental, we focus on creating a seamless, stress-free experience for teens and their families. The process starts with a detailed examination and digital X-rays to evaluate the position and condition of the wisdom teeth.

The procedure itself usually takes less than an hour and can be performed under local anesthesia or sedation, depending on your teen’s needs. After the extraction, we provide thorough aftercare instructions to encourage smooth healing and minimize discomfort.

What Are the Benefits of Wisdom Teeth Removal for Teens?

Having wisdom teeth removed during the teenage years provides several key advantages. Addressing these issues promotes better outcomes and prevents more significant problems later in life.

Benefits of wisdom teeth removal during a child’s teenage years include:

  • Reduced pain: Early removal alleviates discomfort caused by wisdom teeth crowding or erupting incorrectly.
  • Lower risk of future issues: Extracting problematic teeth minimizes the likelihood of infections, decay, and gum disease.
  • Better alignment: Removing third molars helps preserve alignment, especially after orthodontic treatments.

You’re not just addressing current pain or discomfort by acting now—you’re taking a proactive step to prevent your teen’s long-term oral health problems.

Invest in Your Teen’s Smile With Esteem Dental

Removing wisdom teeth helps address your teen’s current pain or discomfort and prevent long-term oral health problems. Our dental professionals offer comprehensive care to protect surrounding teeth and minimize the risk of future issues your teen may encounter.

Esteem Dental team is honored to serve Winter Garden and South Orlando with exceptional dental care. We provide a multi-specialty dental practice, offering comprehensive care to the entire family to alleviate discomfort, protect surrounding teeth, and minimize the risk of future issues. To discuss your teen’s wisdom teeth removal or book an appointment, contact us at (407) 476-5650 or complete our contact form.

Dr. Jordan Jones, DDS

Dr. Jordan Jones, DDS

Dr. Jordan Jones leads the experienced team at Esteem Dental, providing comprehensive family dental care to the Winter Garden and Lake Nona communities. With a focus on general dentistry, pediatric care, and orthodontics, Dr. Jones combines advanced techniques with a compassionate approach to ensure every patient receives personalized, quality treatment in a comfortable environment.

✓ Medically Reviewed

The Esteem Dental team is honored to serve Lake Nona and all of South Orlando with exceptional dental care. Let us know how our dental team can serve you and your family. We can’t wait to meet you!

Leave a Reply